Diagnosis Genital warts
The correct diagnosis between genital warts, pimples and herpes in the genital area is very important for men and women, as each of these problems has different causes and treatment. Many people at first cannot recognize their differences and may find a lot of worry or stress. Genital warts usually appear in the form of small bumps and meat, while pimples are usually associated with inflammation and redness, and herpes is seen as small, painful blisters. Understanding the appearance and symptoms of each is the first step to properly care and see your doctor.
Today in Alamato Article under the title How do we know that we have genital warts or herpes in men and women? We have brought you with us.
Also Read: The best ointment to treat men’s genital warts
How do we find out the genital warts in women
The first thing to consider is the appearance of skin lesions to diagnose genital warts in women. These warts usually appear as small, soft skin bumps or slightly darker and sometimes like cauliflower. Warts may be seen in a single or group and may be present in different areas such as the vagina, Volvo, anus, groin and even lip, mouth or throat in the case of oral relationships.
In addition to appearance, associated symptoms can be a sign of genital warts. Symptoms of itching or burning in the genital area, mild bleeding, especially after sexual intercourse, increased or changed vaginal secretions, and pain or discomfort during sex are common symptoms. Sometimes warts are small or flat and are not visible without medical examination, but can still be transferred.
In general, a combination of multiple symptoms, such as soft and color bumps with itching, abnormal discharge or mild bleeding, can increase the likelihood of genital warts. Even in cases where the warts are painless, it is still important to refer to a physician and conduct regular examinations to accurately diagnose and timely treatment.
Also Read: How is Pap smear test and what does it show?


How do we know that we have genital warts or pimples and herpes in women
To determine whether the fertilizer is warts or pimples or herpes, we need to pay attention to a number of appearance and symptoms.
Genital warts: These appendages are caused by the HPV virus and are usually small, soft and skin -specific bumps or slightly darker. Sometimes a few warts are attached to each other and look like a cauliflower. They are often painless, but sometimes itching or mild bleeding. Warts may appear in the vaginal, vaginal, anus, groin, and even lip and mouth (in the case of oral relationship). These lesions are usually free and secreted and do not disappear in themselves and require medical treatment.
Genital pimples: Pimples are caused by obstruction of the fat glands, stimulation of the skin or bacterial infection. They are usually seen in the form of small, red or white masses with the purulent center and are painful when touching. Sometimes the yellow or white fluid is secreted and may be associated with swelling or fever. The pimples usually recover within a few days to a week and do not have a viral root.
Genital herpes: Herpes is caused by the HSV virus and appears as small, painful blisters. These blisters may be single or group and are often associated with itching, burning and pain. After the opening, the blisters are secreted and gradually dried and improved, but the virus can remain in the body and re -activate.
Also Read: What is the Paffbit Pill for? Time and how to take Paffiti pills


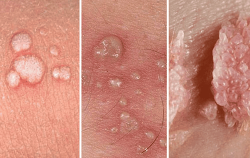
The difference between pimples, herpes and genital warts from left to right
How to recognize?
If the bumps are soft, skin -colored or slightly dark and painless: most likely warts.
If the lesion is red, purulent and painful and heals itself within a few days: the possibility is pimple.
If small blisters are painful and full of transparent fluid that are later dried and itching or burning: the possibility of herpes.
Finally, simultaneously observing a few symptoms and medical examinations is the best way to accurately diagnose, as some small or hidden lesions may not be seen with the eyes but require treatment.
How do we know that we have genital warts or pimples in men
To determine whether bumps or lesions in the male genital area or pimples, it must be considered, color, pain and duration.
Genital warts in men:
The genital wart is caused by HPV virus and usually appears as small bumps, meat, dome or cauliflower. Its color can be skin color, pink, light brown or dark and even black. Warts are usually painless but may cause itching or a little burning. These lesions can grow gradually and usually do not disappear and require medical treatment. The dispersion of warts is usually single or group and may appear around the penis, scrotum, anus or even into the urethra.
Genital pimples in men:
Pimples are usually caused by obstruction of the fat glands, inflammation of hair follicles or bacterial infection. These pimples are in the form of red and inflamed bumps and often have purulent centers. They are usually painful and touch -sensitive and recover after a few days to a week. Unlike warts, the pimples gradually disappear and have no viral roots.
Also Read: What is the itching of the outer edges of the vagina?


How to recognize?
Appearance: Soft and fleshy bumps with an uneven surface and a Galaxy -like: most likely warts. Red, swollen and pus -bump: possibility of pimples.
Pain and Feeling: Painless or a little itching: Warts, painful and sensitive to touch: pimples.
Duration: Long -term: Warts, short -term and transient: weld.
Location: Warts can be around the penis, anal or even inside the urethra; Pimples usually appear on superficial skin and at the site of hair follicles.
Finally, the best way to accurately diagnose and start proper treatment is to examine a specialist or urologist, as some lesions may look like warts or pimples but have a different origin.
Also Read: Fluconazole 2 Pills for Vaginal Infection


Pimples and genital warts
Size and grow:
The warts may be very small (a few millimeters) and become larger or sticky over time and become cauliflower.
The pimples are usually small, appear quickly and resolve after a few days to a week without a severe enlargement.
Surface and texture:
Warts usually have an uneven or rough surface and may be stiff or soft.
The pimples are soft to half tighten and are usually full of pus or liquid.
Itching and burning:
Warts may cause mild itching or burning but usually not painful.
The pimples can be painful and become sensitive to touch.
Mobile Complications:
Warts are usually without swelling and fever unless they are stimulated or damaged.
Pure pimples may be associated with swelling, severe redness and even fever, indicating infection.
Special location:
Warts can appear inside the urethra, around the penis, anus and groin, and sometimes it is difficult to diagnose without a doctor.
The pimples are usually seen on the surface of the skin and near the hair follicles and are less likely to be inside the duct.
Improvement time and treatment:
Warts do not disappear without medical intervention and require treatments such as cryotherapy, laser or topical medications.
Pimples are usually treated with hygiene, disinfectant creams or antibiotics….
The last word
In this post we tried to bring you all the methods of genital warts in men and women.
RCO NEWS
RCO




