Sign In
  • U.S.
  • Canada
  • Australia
  • Dubai
  • UAE
  • Dominica
  • Spain
RCO News Logo Light RCO News Logo
  • Home
  • Immigration
    Canadian immigration program 2026 to 2028
    Canada

    In his September 2025 speech in Edmonton, Prime Minister Mark Carney emphasized that Canada's Temporary Foreign Worker Program (TFWP) should…

    1 Min Read
    2025 US Lottery Funding Amount
    US lottery winners must prove that they have enough financial power so that they do not become a financial burden to the US government.
    Immigration

    Winning the US lottery is undoubtedly an exciting and fateful event. This success opens the door to new opportunities, but…

    24 Min Read
    Programming in Oman 2026 Esthetebanati Institute
    Hiring a programmer in Oman
    Immigration

    Oman is one of the leading countries in the information technology sector. This has caused golden opportunities for Iranians to…

    22 Min Read
    Programming in Germany 2025
    Programming job market conditions in Germany
    Immigration

    Germany is a leading country in the field of science, technology and engineering and is a great country to immigrate…

    21 Min Read
    What is legalization of documents? 2025 Esthetebanati Institute
    What is the legalization of documents?
    Immigration

    In the world of immigration, studying or working abroad, one of the important and sometimes complicated steps is "legalization" of…

    21 Min Read
    Check out more:
    • Canada
  • Travel
    Samurai were not just men; The real face of a samurai in the British Museum
    Samurai in the British Museum
    Travel

    According to ISNA, the samurai exhibition at the British Museum is going to challenge the samurai myths. The exhibit explores…

    7 Min Read
    Irani garden of Tehran Everything you need to know before visiting
    Iranian garden
    Dubai

    These days, Tehran is struggling more and more with congestion, traffic and noise. For this reason, the existence of an…

    27 Min Read
    A trip to the history of Tehran; Cycling in Ferdowsi in the 20s!

    In the 1920s, Tehran was at the peak of development trends and the capital was developing. The valuable historical photo…

    1 Min Read
    The car without glass removed the border between driving and nature!
    Toyota Rocks at night
    Travel

    Travel is no longer limited to metal and glass cars. Toyota's design studio has presented a radical and exciting definition…

    3 Min Read
    A residence on a private island; A combination of pristine nature and modern facilities
    The interior of a room at the Waldorf Astoria Seychelles Pellet Island
    Travel

    "Waldorf Astoria Seychelles Platte Island" residence is located in the Indian Ocean, in the country of "Seychelles" and the remote…

    2 Min Read
    Check out more:
    • Dubai
  • Technology
    The necklace of one of the passengers of the Titanic was found after many years among the wreckage of the ship
    A Titanic passenger's necklace has been found among the ship's wreckage years later - Diginoy
    Technology

    A necklace that once belonged to a passenger on the RMS Titanic was recently found in a piece of the…

    5 Min Read
    iPhone 20 with LOFIC technology reaches the quality of cinema cameras

    There is still a long time left until the release of Apple's 2027 iPhone series. It is expected that at…

    3 Min Read
    OpenAI is looking to enter the health app market
    OpenAI health
    artificial-intelligence

    OpenAI is apparently planning to enter the healthcare space. The AI ​​giant is hiring people to develop a health-focused app…

    2 Min Read
    Check the status of playing Switch games on Switch 2 with Nintendo’s new website
    Switch Compatibility Test
    artificial-intelligence

    The fact that the Nintendo Switch 2 console can run all the games of the previous generation console, the Nintendo…

    3 Min Read
    What is Vibe Coding and how to use sensory coding?
    Vibe-coding
    artificial-intelligence

    Since the beginning of 2025, in the world of software development, the new term Vibe coding or "sensory coding" has…

    8 Min Read
    Check out more:
    • Artificial Intelligence
    • CryptoCurrency
    • Gadgets
  • Fashion
    FashionShow More
    What is the difference between sleeper and crux + photo

    Many people hesitate when buying comfortable slippers between two popular models, Slipper…

    10 Min Read
    Stylish and special coat
    If you are looking for a stylish and special coat model, don’t miss these models! • Image of life magazine

    In this article, you will get to know the latest models of…

    15 Min Read
    The most stylish and latest models of linen pants
    The most stylish types of linen pants 😍 What to pair linen pants with?

    Linen pants have become very popular among men and women and are…

    11 Min Read
    Thick embroidery is the process of sewing thick and heavy fabrics such as denim.

    Thick embroidery is one of the key skills in the art of…

    17 Min Read
    Full set of fancy satin pajamas
    40 models of the newest and most stylish models of fantasy pajamas

    One of the most important types of accessories in clothing is women's…

    6 Min Read
  • Health
    HealthShow More
    Snoring in sleep and its treatment at home
    What is the sign of snoring in sleep? What is the disease? Snoring treatment at home

    Snoring in sleep and its treatment at homeSnoring is one of the…

    7 Min Read
    The cause of hip and groin pain in women
    What is the cause of hip and groin pain in women on the left and right side? + Treatment

    The cause of hip and groin pain in womenPelvic pain is generally…

    8 Min Read
    The cause of ear burning
    The cause of left and right ear heating and head heaviness

    The cause of ear burningLeft and right ear burning and head heaviness…

    12 Min Read
    The cause of heartburn and its treatment
    What is the cause of burning scalp and hair loss? + Ways of treatment

    The cause of heartburn and its treatmentItchy scalp and hair loss is…

    10 Min Read
    The difference between sanitary napkins and menstrual cups and tampons
    Sanitary napkin or menstrual cup or tampon? Which one is more suitable?

    To answer this question we have to tell you the choice between…

    20 Min Read
  • Science
    ScienceShow More
    A new method that corrects multiple genetic mutations at the same time

    A new method of gene editing enables the simultaneous correction of multiple…

    7 Min Read
    Iran’s National Science Promotion System was unveiled – Mehr news agency RCO News Agency

    According to the report of Mehr reporter, Mohammad Hassanzadeh, at the ceremony…

    6 Min Read
    From “the positive effect of coffee on irregular heartbeat” to “the masterpiece of Chinese chemists” and “700 billion income of Sharif University”

    ISNA scientific and academic service hosted various news on Monday, November 19,…

    18 Min Read
    Technology should serve to reduce social gaps and discrimination – RCO News Agency

    According to Mehr reporter, Mustafa Moin at the ceremony magnified World Science…

    9 Min Read
    Dr. Moin’s prescription for a more peaceful society; Peace-oriented legislation and the role of civil institutions

    The head of the Society of Ethics in Science and Technology at…

    9 Min Read
  • World
    WorldShow More
    Trump’s deal with South Korea is deadlocked

    Trump's deal with South Korea is deadlocked Two weeks after Trump met…

    4 Min Read
    Approval of the bill to end the US government shutdown in the Senate; The bill to the House of Representatives – Mehr news agency RCO News Agency

    Approval of the bill to end the US government shutdown in the…

    2 Min Read
    Hossein Morteza: Iran's position is to support Lebanon/ every ground battle is in favor of Hezbollah
    Hossein Morteza: Iran’s position is to support Lebanon/ every ground battle is in favor of Hezbollah

    Hossein Morteza: Iran's position is to support Lebanon/ every ground battle is…

    5 Min Read
    Plane carrying humanitarian aid crashed in Florida + video – Mehr News Agency | RCO News Agency

    Plane carrying humanitarian aid crashed in Florida + video - Mehr News…

    1 Min Read
    Video/ Why is Israel afraid of the new mayor of New York?
    Video/ Why is Israel afraid of the new mayor of New York?

    Video/ Why is Israel afraid of the new mayor of New York?…

    1 Min Read
Reading: How do we know that we have genital warts or herpes in men and women?
Share
RCO NEWS Daily world news agency Based on Dubai, UAERCO NEWS Daily world news agency Based on Dubai, UAE
Aa
  • Immigration
  • Travel
  • Technology
  • Science
  • Fashion
Search
  • Home
  • Immigration News
    • Canada
  • Technology News
    • Gadgets
    • cryptocurrency
  • Travel News
    • Dubai
  • Fashion News
  • World News
  • Bookmarks
  • Sitemap
Have an existing account? Sign In
Follow US
© 2023 RCO News Network. Studio TEDSA Design Company. All Rights Reserved.
RCO NEWS Daily world news agency Based on Dubai, UAE > Blog > Health > How do we know that we have genital warts or herpes in men and women?
Health

How do we know that we have genital warts or herpes in men and women?

fitness trainer
Last updated: 2025/08/30 at 10:01 PM
fitness trainer
Share
SHARE


Contents
Diagnosis Genital wartsHow do we find out the genital warts in womenHow do we know that we have genital warts or pimples and herpes in women How do we know that we have genital warts or pimples in menPimples and genital warts

How do we know that we have genital warts or pimples and herpes

Diagnosis Genital warts

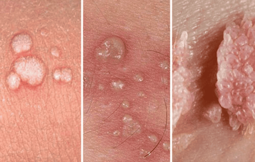
The correct diagnosis between genital warts, pimples and herpes in the genital area is very important for men and women, as each of these problems has different causes and treatment. Many people at first cannot recognize their differences and may find a lot of worry or stress. Genital warts usually appear in the form of small bumps and meat, while pimples are usually associated with inflammation and redness, and herpes is seen as small, painful blisters. Understanding the appearance and symptoms of each is the first step to properly care and see your doctor.

Today in Alamato Article under the title How do we know that we have genital warts or herpes in men and women? We have brought you with us.

Also Read: The best ointment to treat men’s genital warts

How do we find out the genital warts in women

The first thing to consider is the appearance of skin lesions to diagnose genital warts in women. These warts usually appear as small, soft skin bumps or slightly darker and sometimes like cauliflower. Warts may be seen in a single or group and may be present in different areas such as the vagina, Volvo, anus, groin and even lip, mouth or throat in the case of oral relationships.

In addition to appearance, associated symptoms can be a sign of genital warts. Symptoms of itching or burning in the genital area, mild bleeding, especially after sexual intercourse, increased or changed vaginal secretions, and pain or discomfort during sex are common symptoms. Sometimes warts are small or flat and are not visible without medical examination, but can still be transferred.

In general, a combination of multiple symptoms, such as soft and color bumps with itching, abnormal discharge or mild bleeding, can increase the likelihood of genital warts. Even in cases where the warts are painless, it is still important to refer to a physician and conduct regular examinations to accurately diagnose and timely treatment.

Also Read: How is Pap smear test and what does it show?

How do we find out the genital warts in womenHow do we find out the genital warts in women

How do we know that we have genital warts or pimples and herpes in women

To determine whether the fertilizer is warts or pimples or herpes, we need to pay attention to a number of appearance and symptoms.

Genital warts: These appendages are caused by the HPV virus and are usually small, soft and skin -specific bumps or slightly darker. Sometimes a few warts are attached to each other and look like a cauliflower. They are often painless, but sometimes itching or mild bleeding. Warts may appear in the vaginal, vaginal, anus, groin, and even lip and mouth (in the case of oral relationship). These lesions are usually free and secreted and do not disappear in themselves and require medical treatment.

Genital pimples: Pimples are caused by obstruction of the fat glands, stimulation of the skin or bacterial infection. They are usually seen in the form of small, red or white masses with the purulent center and are painful when touching. Sometimes the yellow or white fluid is secreted and may be associated with swelling or fever. The pimples usually recover within a few days to a week and do not have a viral root.

Genital herpes: Herpes is caused by the HSV virus and appears as small, painful blisters. These blisters may be single or group and are often associated with itching, burning and pain. After the opening, the blisters are secreted and gradually dried and improved, but the virus can remain in the body and re -activate.

Also Read: What is the Paffbit Pill for? Time and how to take Paffiti pills
How do we know that we have genital warts or pimples and herpes in womenHow do we know that we have genital warts or pimples and herpes in women

The difference between pimples, herpes and genital warts from left to right

How to recognize?

If the bumps are soft, skin -colored or slightly dark and painless: most likely warts.

If the lesion is red, purulent and painful and heals itself within a few days: the possibility is pimple.

If small blisters are painful and full of transparent fluid that are later dried and itching or burning: the possibility of herpes.

Finally, simultaneously observing a few symptoms and medical examinations is the best way to accurately diagnose, as some small or hidden lesions may not be seen with the eyes but require treatment.

How do we know that we have genital warts or pimples in men

To determine whether bumps or lesions in the male genital area or pimples, it must be considered, color, pain and duration.

Genital warts in men:

The genital wart is caused by HPV virus and usually appears as small bumps, meat, dome or cauliflower. Its color can be skin color, pink, light brown or dark and even black. Warts are usually painless but may cause itching or a little burning. These lesions can grow gradually and usually do not disappear and require medical treatment. The dispersion of warts is usually single or group and may appear around the penis, scrotum, anus or even into the urethra.

Genital pimples in men:

Pimples are usually caused by obstruction of the fat glands, inflammation of hair follicles or bacterial infection. These pimples are in the form of red and inflamed bumps and often have purulent centers. They are usually painful and touch -sensitive and recover after a few days to a week. Unlike warts, the pimples gradually disappear and have no viral roots.

Also Read: What is the itching of the outer edges of the vagina?

How do we know that we have genital warts or pimples in menHow do we know that we have genital warts or pimples in men

How to recognize?

Appearance: Soft and fleshy bumps with an uneven surface and a Galaxy -like: most likely warts. Red, swollen and pus -bump: possibility of pimples.

Pain and Feeling: Painless or a little itching: Warts, painful and sensitive to touch: pimples.

Duration: Long -term: Warts, short -term and transient: weld.

Location: Warts can be around the penis, anal or even inside the urethra; Pimples usually appear on superficial skin and at the site of hair follicles.

Finally, the best way to accurately diagnose and start proper treatment is to examine a specialist or urologist, as some lesions may look like warts or pimples but have a different origin.

Also Read: Fluconazole 2 Pills for Vaginal Infection

Pimples and genital wartsPimples and genital warts

Pimples and genital warts

Size and grow:

The warts may be very small (a few millimeters) and become larger or sticky over time and become cauliflower.

The pimples are usually small, appear quickly and resolve after a few days to a week without a severe enlargement.

Surface and texture:

Warts usually have an uneven or rough surface and may be stiff or soft.

The pimples are soft to half tighten and are usually full of pus or liquid.

Itching and burning:

Warts may cause mild itching or burning but usually not painful.

The pimples can be painful and become sensitive to touch.

Mobile Complications:

Warts are usually without swelling and fever unless they are stimulated or damaged.

Pure pimples may be associated with swelling, severe redness and even fever, indicating infection.

Special location:

Warts can appear inside the urethra, around the penis, anus and groin, and sometimes it is difficult to diagnose without a doctor.

The pimples are usually seen on the surface of the skin and near the hair follicles and are less likely to be inside the duct.

Improvement time and treatment:

Warts do not disappear without medical intervention and require treatments such as cryotherapy, laser or topical medications.

Pimples are usually treated with hygiene, disinfectant creams or antibiotics….

The last word

In this post we tried to bring you all the methods of genital warts in men and women.

Dubai company setup

Latest Passing over countries : Spain | Dominica | United Arab Emirates



RCO NEWS

RCO

RCO News

We are glad that you have decided to subscribe to our email list.
Please take a few seconds to fill out the listing details to join our list.
You will receive an email to confirm your subscription, just to make sure it is your email address.
TAGGED: genital, Herpes, Men, warts, women
fitness trainer August 30, 2025 August 30, 2025
Share This Article
Twitter Email Copy Link Print
What is your Reaction in this page of RCO News?
Love0
Sad0
Happy0
Sleepy0
Angry0
Surprise0
Previous Article The Indonesian president canceled the trip to China due to the expansion of the protests – Mehr News Agency | Iranian and world news
Next Article New Pictures of Martyr Mohammad al -Zayf, the late commander of Kataeb al -Qassam – Mehr News Agency | Iranian and world news
Leave a comment

Leave a Reply Cancel reply

Your email address will not be published. Required fields are marked *

UAE immigration
Dominica immigration
Spain immigration

Latest Passing over countries : Spain | Dominica | United Arab Emirates

Editor's Pick

ca, the safest cities in Canada in 2025

British Columbia cities at the bottom of the security tableprovince British Columbia It has had the weakest performance in this…

By Editor-in-chief of Canada 3 Min Read
Iranian garden
Irani garden of Tehran Everything you need to know before visiting

These days, Tehran is struggling more and more with congestion, traffic and…

27 Min Read
A trip to the history of Tehran; Cycling in Ferdowsi in the 20s!

In the 1920s, Tehran was at the peak of development trends and…

1 Min Read

Top Writers

Editor-in-chief of Canada 810 Articles
We at Canada RCO News Observatory are responsible for gathering…
Editor-in-chief of Canada
TakeOff 4505 Articles
We at RCO NEWS for Travelers of the Takeoff travel…
TakeOff

Oponion

What is the difference between sleeper and crux + photo

Many people hesitate when buying comfortable slippers between two popular…

November 2, 2025

You Might Also Like

Samurai in the British Museum
Travel

Samurai were not just men; The real face of a samurai in the British Museum

According to ISNA, the samurai exhibition at the British Museum is going to challenge the samurai myths. The exhibit explores…

7 Min Read
Snoring in sleep and its treatment at home
Health

What is the sign of snoring in sleep? What is the disease? Snoring treatment at home

Snoring in sleep and its treatment at homeSnoring is one of the most common and common problems that can happen…

7 Min Read
The cause of hip and groin pain in women
Health

What is the cause of hip and groin pain in women on the left and right side? + Treatment

The cause of hip and groin pain in womenPelvic pain is generally a pain that may occur in women for…

8 Min Read
The cause of ear burning
Health

The cause of left and right ear heating and head heaviness

The cause of ear burningLeft and right ear burning and head heaviness are among the symptoms that many people may…

12 Min Read
RCO News Logo Light RCO News Logo

Other News

  • Science
  • Fashion
  • Business

Technology

  • Technology News
  • artificial-intelligence
  • cryptocurrency
  • Gadgets

Immigration

  • Immigration News
  • Canada

Travel

  • Travel News
  • Dubai

More

  • Advertise
  • Contact

Subscribe

  • Dubai Company
  • TEDSA HOLDING
  • Nobel Cert Universal

© RCO News Network. By Studio TEDSA HOLDING. All Rights Reserved.

Welcome Back!

Sign in to your account

Lost your password?